ТОП-130
Наша клиника в ТОП-130 по оборотам в России, по критериям VADEMECUM

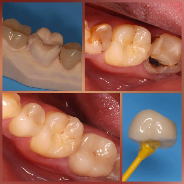
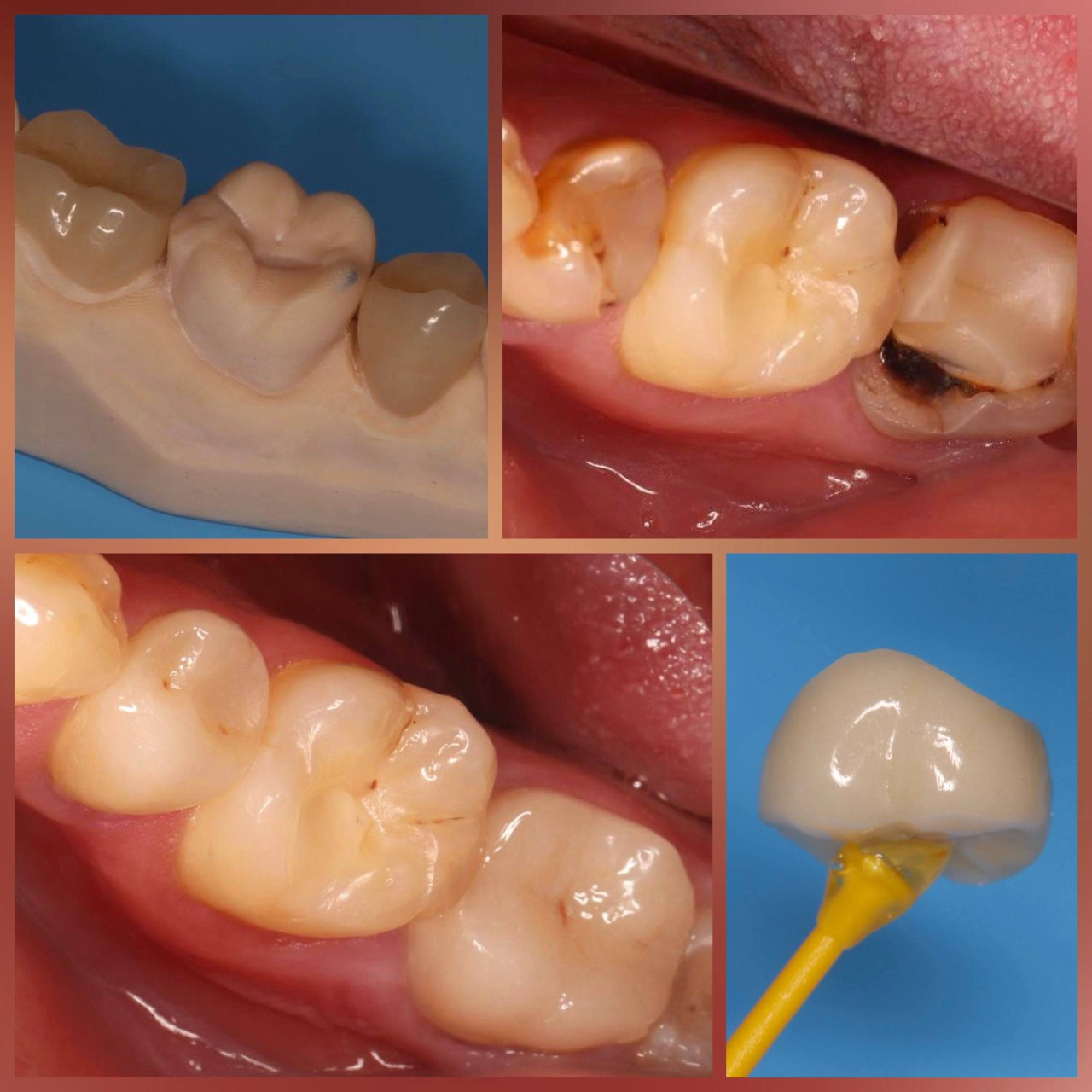
Коронки

Коронка — надёжная защита вашего зуба! Сегодня поговорим о зубных коронках — разберёмся, что это такое, зачем нужны и как устанавливаются. И развеем некоторые мифы

Что такое зубная коронка?

Представьте себе «колпачок» для зуба — это и есть коронка!  Это прочная конструкция, которая накрывает поврежденный зуб, защищая его от сколов.

Зачем нужны коронки?
  • восстанавливают форму и жевательную функцию;
  • защищают ослабленный зуб от сколов и трещин;
  • возвращают улыбке красоту;
  • укрепляют зуб после лечения каналов. 
Когда стоматолог может порекомендовать коронку?
  • зуб разрушен более чем на 50 %;
  • после удаления нерва и лечения каналов;
  • при крупных пломбах, ослабляющих зуб;
  • при стираемости эмали или травме зуба;
  • для эстетического выравнивания формы и цвета.
Из чего делают коронки?

Современные коронки изготавливают в основном из:

  • циркония;
  • керамики.

По форме и цвету они практически неотличимы от естественных зубов.

Как устанавливают коронку?

Процесс занимает 2–3 посещения и проходит поэтапно:

  1. Диагностика. Врач оценивает состояние зуба, делает снимки.
  2. Подготовка зуба. Аккуратное обтачивание для создания места под коронку.
  3. Передача данных зубным техникам. Сканирование зубов на 3D‑сканере или снятие слепков. Все эти данные и фотографии зубов отправляются в лабораторию.
  4. Примерка и фиксация. На следующем приёме врач проверяет прилегание, цвет и форму коронки. Если всё идеально — коронку фиксируют!

Развеиваем мифы 

Многие ассоциируют коронки с пожилым возрастом, съёмными протезами или металлическими зубами… Но это давно не так! 

Современная стоматология и технические лаборатории достигли невероятных высот в эстетике. Коронки выглядят естественно и гармонично. И устанавливают их в любом возрасте, когда того требует клинический случай.

Берегите свои зубы и улыбайтесь на здоровье!

Статья носит информационный характер. Для постановки диагноза и лечения обратитесь к специалисту.
Оставьте заявку и мы Вам перезвоним

Оставьте свои данные, мы свяжемся с Вами в ближайшее время и проконсультируем по всем вопросам

Мы используем файлы cookie. Чтобы улучшить работу сайта и предоставить Вам больше возможностей. Продолжая использовать сайт, вы соглашаетесь с условиями использования cookie.
OK