2004г. - ФГБОУ ВО «Кемеровский государственный медицинский университет» Минздрава России, стоматология
2005г. - ГОУ ВПО «Государственный институт усовершенствования врачей» Минобороны России, клиническая интернатура, стоматология терапевтическая
2008г. - ФГБОУ ВО «Кемеровский государственный медицинский университет» Минздрава России, стоматология терапевтическая
2014г. - ФГБОУ ВО «Кемеровский государственный медицинский университет» Минздрава России, стоматология терапевтическая
2019г. - ФГБОУ ВО «Кемеровский государственный медицинский университет» Минздрава России, стоматология терапевтическая
Сертификаты, научные степени, категории
2009г. - Департамент охраны здоровья населения Кемеровской области, стоматология терапевтическая, 2-я категория
2016г. - Департамент охраны здоровья населения Кемеровской области, стоматология терапевтическая, 1-я категория
Профессиональные навыки
Прием пациентов с 18 лет по специальности «стоматология терапевтическая»
Профессиональная гигиена
Лечение зубов постоянного прикуса
Эстетические реставрации жевательной и фронтальной групп зубов
Эндодонтическое лечение
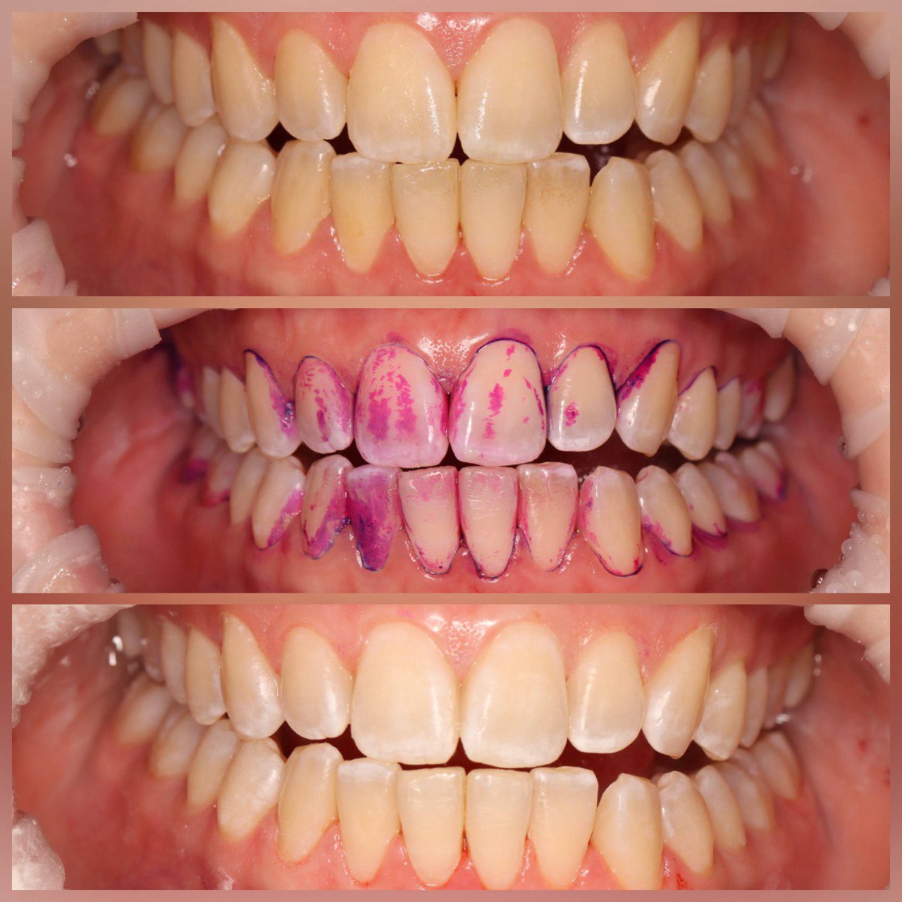
Отбеливание
Область профессиональных интересов
Эстетическая реставрация
Лечение под увеличением (микроскоп, бинокуляры)
Изготовление вкладок
Отзывы о враче
Станислав
24.07.2025
От всей души выражаю Вам искреннюю благодарность за Ваше мастерство, внимание и заботу! Благодаря Вашему профессионализму и чуткости я вновь и вновь наслаждаюсь здоровой улыбкой. Ваш труд — настоящее искусство.
Денис
21.04.2025
Лучший стоматолог!!! Спасибо за все!
Сергей
07.04.2025
Пролечил у Екатерины Григорьевны 5 зубов, и могу сказать что она замечательный врач! Лечение было очень комфортным, с прекрасным результатом. Также выделю профессиональные консультации - все было понятно и по делу. Большое спасибо Екатерине, обязательно вернусь к ней!
Татьяна
06.11.2023
Я записалась к Екатерине Григорьевне по рекомендации и осталась очень довольна. Большое спасибо и благодарность за 200% внимание и мастерскую работу: и подбодрит и комплимент сделает, а руки у неё золотые, мастер ювелирного дела) . Всё подробно расскажет что, когда, зачем. Сфотографирует, покажет до и после! Всем рекомендую!!!
Наталия
28.09.2023
У стоматологов я не была примерно 15 лет, но тут решила пойти на профессиональную чистку зубов. Екатерина подробно объясняла что мне сейчас будут делать, каждый шаг. В процессе проведения процедуры постоянно спрашивала, не больно ли мне. Еще мне очень понравилось, что она не навязала никаких лишних процедур, как это часто любят делать, а, наоборот, сказала, что мне ничего сверлить не надо, так как всё в порядке. Хочу отметить, что врач очень добрый, красивый и улыбчивый. К таким хочется возвращаться.
Оксана
20.07.2023
Случайно попала к Заречневой Е.Г., отзывы не читала. Обратилась по дмс, не ожидала что будут так возиться со мной, сделала очень всё грамотно, аккуратно, приятная в общении, тоже о многом говорит. Согласовала со страховой все услуги, предупредила что не входит, это хорошо когда на деньги не разводят. Вылечила 3 зуба в итоге. И записала дочку к ней на лечение, только положительные впечатления . Хороший специалист. А их сейчас трудно найти.
Ирина
03.12.2022
Спасибо большое за отличное лечение и доброе отношение Екатерине Григорьевне. Ни один мой вопрос и ни одна проблема не остались без внимания, а после посещения её кабинета улыбка стала чаще и шире! :-) От всей души рекомендую данного врача, я сама пришла к ней по рекомендации! Не пожалеете 100%!
Олеся
24.08.2022
Хочу выразить благодарность Заречневой Е.Г. за ее работу, профессиональный подход даже к чувствительным клиентам )))). Теперь рекомендую Екатерину Григорьевну всем своим знакомым.
Надежда
13.05.2022
Хочу выразить огромную благодарность Екатерине Григорьевне за высокий профессионализм, за чуткое отношение к своим клиентам. Я очень рада, что лечусь у этого прекрасного врача уже не первый год. И выражаю свое восхищение моему милому, красивому доктору!!!Екатерина Григорьевна, врач от бога, побольше бы таких докторов!!!
Андрей
02.05.2022
Спасибо Екатерине Григорьевне за качественное лечение и чистку зубов, установку пломб. Екатерина Григорьевна внимательна к пациенту, не навязывает дополнительных услуг, старается сохранить зубы.
Ирина
06.03.2022
Очень благодарна Екатерине Григорьевне за чуткость, внимательность и профессионализм в работе, после ее реставрации передних зубов , наслаждаюсь эстетикой, специально записываюсь только к Екатерине Григорьевне с уверенностью, что будь то сложное лечение или маленькая пломба, можно полностью довериться доктору и не переживать за результат.
Светлана
01.12.2021
Спасибо Заречневой Екатерине Григорьевне за то, что очень аккуратно и красиво сделала пломбы на передних зубах. Делает только самое необходимое и старается сохранить живые зубы.
Мы используем файлы cookie. Чтобы улучшить работу сайта и предоставить Вам больше возможностей. Продолжая использовать сайт, вы соглашаетесь с условиями использования cookie.