Онлайн-консультации для наших пациентов
Онлайн-консультация
г. Москва, Куркино, ул. Родионовская, 2 и 2к1
Колл-центр работает ежедневно с 8:00 до 21:00
+7 (495) 660-30-90Огнёв Владислав Александрович
Стаж с 2021г.
Специализация
Стоматолог с 5 летСтоматолог-ортодонт с 5 лет
Образование, повышение квалификации
- 2018 г. — Тверской государственный медицинский университет, специальность «врач-стоматолог».
- 2021 г. — Центральная государственная медицинская академия Управления делами Президента РФ, клиническая ординатура по специальности «ортодонтия».
- 2019 г. — «Функциональная стоматология от А до Я», Станислав Блум
- 2021 г. — «Школа ортодонтии второй уровень: этапы лечение самолигирующей брекет-системой: от первой дуги до завершения»
- 2021 г. — «Ортодонтическое лечение: ошибки, которых можно избежать», Сергей Попов
- 2021 г. — «Использование флексиков (элайнеров) в сменном прикусе»
- 2021 г. — «Флексы (элайнеры) как прогрессивный метод лечения в современной ортодонтии»
- 2021 г. — «Эффективное позиционирование брекетов — предсказуемость ортодонтического лечения», Сергей Попов
- 2021 г. — «Evolution 2.0 — 8 ключей ортодонтического лечения»
- 2022 г. — «Ортодонтическое лечение детей и подростков» ортодонт эксперт.
- 2022 г. — курс «Минивинты в ортодонтии: сплав металла и интелекта» ортодонт эксперт.
- 2024 г. — курс «Основы работы с аппаратом для скелетного расширения от А до Я» Галина Дюгай.
- 2024 г. — «Алгоритм подготовки пациента к ортогнатической операции в практике врача-ортодонта» Евгений Свиридов.
Практический опыт работы
- 2021 – 2022 гг. — клиника «Dental-way», врач стоматолог-ортодонт.
- 2022 г. – н/в — m23-clinic, врач стоматолог-ортодонт.
- 2022 г. – н/в — «Медквадрат» , врач стоматолог-ортодонт
- 2025 г. – н/в — ООО «Медицинский Центр Куркино», врач стоматолог-ортодонт
Профессиональные навыки
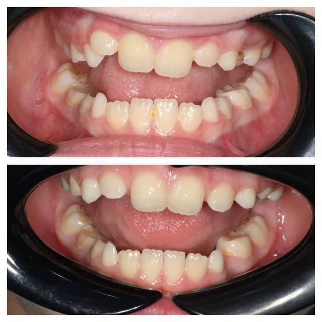
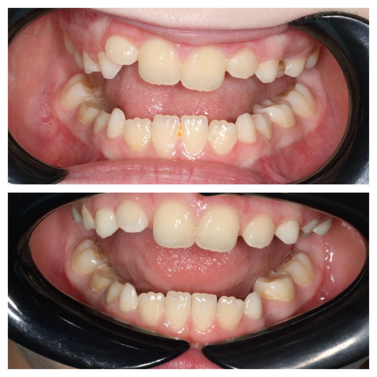
- Диагностика и лечение зубочелюстных аномалий у детей и взрослых с использованием всех видов брекет-систем, съемных аппаратов механического и функционального действия.
- Профилактика патологий зубных рядов и прикуса.
- Ортодонтическая подготовка к рациональному протезированию, имплантации и ортогнатической хирургии.
Другие врачи

Кандидат медицинских наук
Стоматолог с 0 лет, Стоматолог-ортодонт с 0 лет
Стаж с 2002г.

Врач высшей категорииКандидат медицинских наук
Стоматолог с 15 лет, Стоматолог-ортопед с 15 лет, Стоматолог-терапевт с 15 лет
Стаж с 2000г.

Стоматолог с 18 лет, Стоматолог-имплантолог с 18 лет, Стоматолог-хирург с 18 лет
Стаж с 2008г.

Доктор медицинских наук
Стоматолог с 18 лет, Стоматолог-имплантолог с 18 лет, Стоматолог-хирург с 18 лет
Стаж с 2012г.

Заведующая стоматологии
Пародонтолог с 18 лет, Стоматолог с 18 лет, Стоматолог-хирург с 18 лет, Хирург-имплантолог с 18 лет
Стаж с 1994г.

Детский стоматолог с 0 до 18 лет, Стоматолог-терапевт с 18 лет
Стаж с 2018г.
Оказываемые услуги